Skip to content
Home
About Us
The Clinic
Smile Stylers
Styled Smiles
Treatments
Dental Tourism
Testimonials
Blog
Career
Contact Us
X
Appointment
Styled Smiles
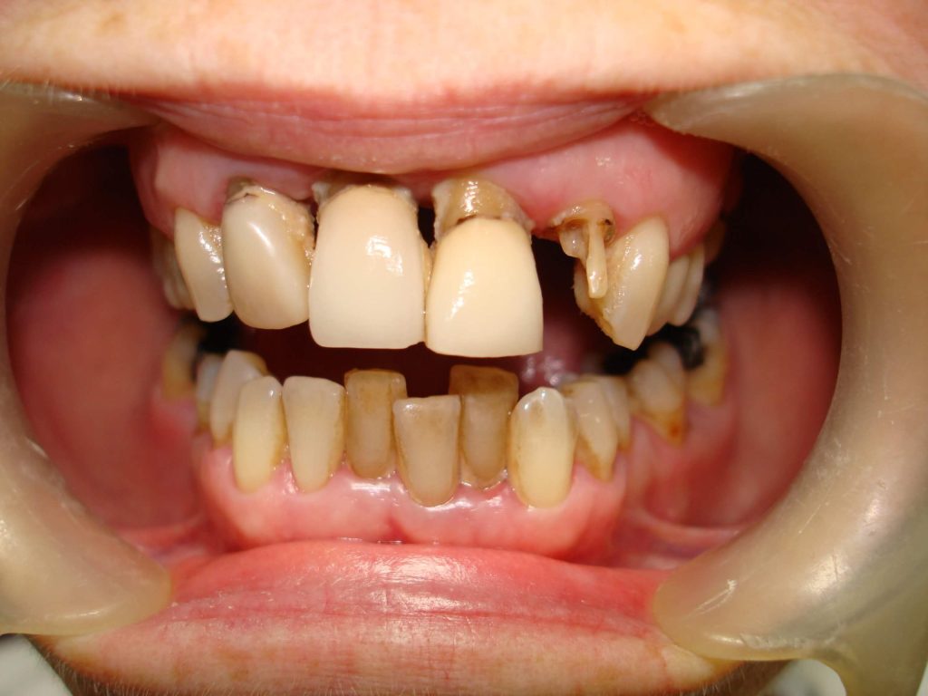
Before
After
Let’s Talk More
Contact Us Now